루닛, “AI가 암환자 치료 반응 예측”.. 북미 병리학회에서 연구 논문 발표


의료 인공지능(AI) 기업 루닛이 오는 13일부터 18일까지 개최되는 미국캐나다병리학회(USCAP)에서 AI 바이오마커의 정확도와 실제 활용 가능성에 관한 연구 논문을 발표한다고 밝혔다. 

올해로 제110회를 맞이하는 USCAP은 병리학회로는 세계 최대 규모를 자랑한다. 아스트라제네카, 로슈, 머크 등 글로벌 제약회사를 포함해 매년 약 4천여 명의 전문가들이 모여 질병 치료에 기반이 되는 병리학에 관한 최신 연구와 정보를 공유하는 자리다. 

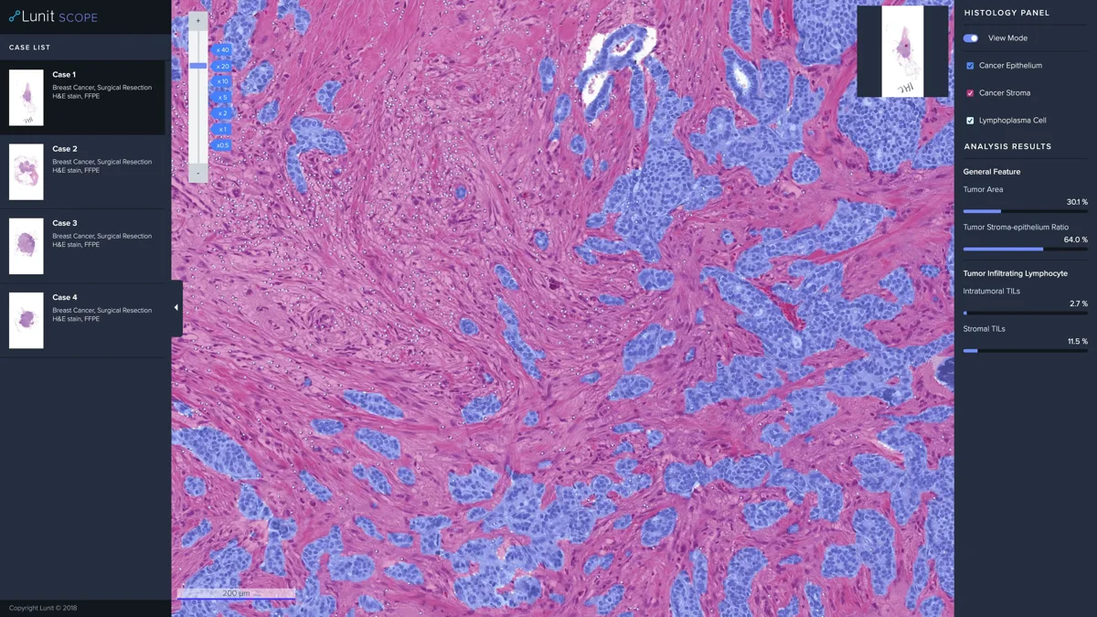
꾸준한 연구로 개발된 루닛의 인공지능 기반 조직 분석 플랫폼 ‘루닛 스코프 IO(Lunit SCOPE IO)’는 암의 치료 영역에서도 AI가 활용될 수 있음을 보여주고 있다. [상세내용 보기]

루닛 스코프 플랫폼은 환자의 조직 슬라이드 분석을 통해 암조직 종양침윤림프구(TIL) 분포를 세 가지 면역학적 형질로 분류(3-IP; 3 Immune Phenotypes), 각 형질에 따라 면역항암제 치료 예후가 달라진다는 점을 입증해왔다. 이는 세계 양대 암학회로 꼽히는 AACR 및 ASCO에서 발표돼 그 의미를 인정받은 바 있다. 

이번 USCAP에서 발표하는 연구는 루닛 스코프 IO가 환자의 3-IP를 얼마나 높은 정확도로 분류할 수 있는지에 대한 병리과 전문의와의 비교 검증을 목표로 했다. 삼성서울병원, 분당서울대병원, 아주대병원의 병리학 연구팀과 데이터를 활용해 연구가 진행됐으며, 루닛 인공지능 플랫폼과 병리학 전문의의 분석 결과를 직접 비교했다. 

20210311 lunit scope IO - 와우테일

비소세포폐암 환자의 조직 슬라이드를 3-IP로 분류한 결과, 병리학 전문의 집단은 평균 80.5%의 일치도를 보인 반면, 루닛 인공지능 플랫폼은 92.4%의 정확도로 3-IP 분류에 성공해 우수한 성능을 입증했다.  본 결과는 AI를 활용한 정확한 분류를 통해 환자의 항암치료 반응을 예측하고 보다 효과적인 맞춤형 치료를 제공할 수 있는 가능성을 의미한다. 

본 연구를 총괄한 아주대학교병원 병리과 김석휘 교수는 “조직 분석을 통한 3-IP 분류는 면역항암제 반응을 예측하는 데 매우 중요한 요소”라며 “이는 환자의 치료 과정 및 생존율과도 직결되기 때문에 정확한 분류가 중요하다. 이번 연구에서 검증한 루닛 스코프 IO의 정확도는 앞으로 인공지능이 환자의 치료 측면에서 크게 활용될 수 있다는 점을 시사했다”고 밝혔다. 

서범석 루닛 대표는 “최근 전 세계적으로 병리학과 항암치료 분야에서 AI 활용이 대두되면서, 관련 투자가 폭발적으로 증가하고 있다” 며 “루닛은 이 분야의 글로벌 선두주자로서, 루닛 AI가 항암치료의 새로운 바이오마커로 활용될 수 있도록 지속적인 성능 개발과 연구를 진행할 것”이라고 포부를 밝혔다.

한편 이번 연구 논문은 현지 시각 3월 15일 오후 2시 15분(한국시간 16일 오전 6시 15분)에 포스터 세션으로 발표될 예정이다. 자세한 내용은 USCAP 공식 홈페이지에서 확인할 수 있다.

기사 공유하기

답글 남기기